Luiza Carneiro Bertazzi1; Renan Carneiro Nogueira Bertazzi2; Aline Pimentel de Miranda1; Júlia Cristina Lima1; Juliana Ishii Iguma1; José Vital Filho1
DOI: 10.17545/eOftalmo/2026.v12.006
RESUMO
O objetivo é descrever um caso raro de melanoma metastático com acometimento orbitário, enfatizando os achados clínicos, de imagem, histopatológicos e terapêuticos, além de contextualizar essas observações com uma revisão da literatura recente. Relato de caso incluindo apresentação clínica, avaliação oftalmológica, exames de imagem, histopatologia e imunohistoquímica, seguido de discussão integrativa com a evidência publicada. Um homem de 66 anos apresentou cefaleia, dor ocular e edema progressivo do olho esquerdo, que evoluiu para proptose e sangramento ocular espontâneo. A tomografia computadorizada de órbita revelou espessamento difuso dos músculos retos lateral e superior, com deslocamento anteromedial do globo. A histopatologia mostrou células tumorais pleomórficas com pigmento melanocítico, e a imunohistoquímica confirmou o diagnóstico por meio de positividade para HMB-45, Melan-A e S100, além de expressão focal de CD56. O estadiamento sistêmico identificou metástases hepáticas e pulmonares, compatíveis com doença avançada e prognóstico reservado. O paciente foi encaminhado para terapia oncológica sistêmica paliativa, destacando os desafios diagnósticos e as limitações terapêuticas frequentemente relatadas na literatura para essa entidade rara. O melanoma orbitário, especialmente no contexto metastático, é uma condição rara e agressiva, associada a prognóstico desfavorável. O diagnóstico depende da combinação entre avaliação clínica, exames de imagem, histopatologia e imunohistoquímica. Este caso reforça a necessidade de avaliação multidisciplinar e destaca a importância de pesquisas adicionais para otimizar estratégias terapêuticas nesse cenário clínico incomum.
Palavras-chave: Melanoma; Neoplasias orbitárias; Órbita; Histopatologia; Imunohistoquímica.
ABSTRACT
The aim of this report is to describe a rare case of melanoma metastatic to the orbit and to emphasize the clinical, imaging, histopathological, and therapeutic findings, as well as to contextualize these observations within a review of the recent literature. This case report includes the clinical presentation, ophthalmic evaluation, imaging studies, histopathology, and immunohistochemistry, along with an integrative discussion based on published evidence. A 66-year-old man presented with headache, eye pain, and progressive swelling of the left eye, which evolved to proptosis and spontaneous ocular bleeding. Computed tomography of the orbit showed diffuse thickening of the lateral and superior rectus muscles, with anteromedial displacement of the globe. Histopathology revealed pleomorphic tumor cells containing melanocytic pigment, and the diagnosis was confirmed by immunohistochemistry, which showed positivity for HMB-45, Melan-A, and S100, along with focal expression of CD56. Systemic staging identified hepatic and lung metastases, consistent with advanced disease and a poor prognosis. The patient was referred for palliative systemic oncologic treatment, highlighting the diagnostic challenges and therapeutic limitations often reported in the literature for this rare entity. Orbital melanoma, particularly in the metastatic context, is a rare and aggressive condition associated with an unfavorable prognosis. Diagnosis depends on a combination of clinical assessment, imaging studies, histopathology, and immunohistochemistry. This case reinforces the need for a multidisciplinary evaluation and highlights the importance of further research to optimize therapeutic strategies in this uncommon clinical scenario.
Keywords: Melanoma; Orbital neoplasms; Orbit; Histopathology; Immunohistochemistry.
INTRODUÇÃO
O melanoma orbitário é um tumor maligno raro que apresenta consideráveis dificuldades diagnósticas e terapêuticas. Ele pode ser classificado como primário, originado de melanócitos ectópicos dentro da órbita, ou secundário/metastático, decorrente da disseminação hematogênica de melanomas cutâneos, uveais ou conjuntivais. Melanomas orbitários primários correspondem a menos de 1% de todos os tumores orbitários, enquanto lesões metastáticas são mais comuns e geralmente indicam doença sistêmica avançada1,2.
A incidência global de melanoma cutâneo tem mostrado aumento constante nas últimas décadas, paralelamente a um número crescente de metástases orbitárias. A maioria dos pacientes são adultos na quinta a sétima décadas de vida, sem predomínio claro entre os sexos3,4. Grandes séries descrevem o melanoma orbitário secundário como mais prevalente do que a doença primária, geralmente refletindo envolvimento sistêmico disseminado5,6.
Clinicamente, o melanoma orbitário pode se manifestar com proptose rapidamente progressiva, edema palpebral, diplopia e dor orbitária. Entretanto, essas manifestações são inespecíficas e podem mimetizar outras massas orbitárias, como meningiomas, linfomas ou hemangiomas cavernosos, dificultando o diagnóstico inicial7,8. A confirmação diagnóstica baseia-se na avaliação histopatológica associada à imunohistoquímica, sendo comuns os marcadores melanocíticos S100, HMB-45 e Melan-A9,10.
O prognóstico do melanoma orbitário metastático é geralmente reservado, sendo o fígado o local mais frequente de metástases, seguido pelos pulmões e sistema nervoso central. Séries históricas relatam sobrevida mediana variando de 6 a 12 meses após o diagnóstico de metástase orbitária5,11.
Neste contexto, relatos de caso permanecem importantes para ilustrar apresentações clínicas incomuns e desafios diagnósticos e terapêuticos. Aqui escrevemos um caso raro de melanoma com envolvimento orbitário, destacando os achados clínicos, de imagem, histopatológicos e os aspectos relacionados ao manejo da doença.
Revisões sistemáticas recentes e coortes institucionais reforçaram a excepcional raridade do melanoma orbitário, observando que casos primários são incomuns e frequentemente associados a lesões melanocíticas pré-existentes, enquanto a doença secundária predomina2,6. Em extensas séries retrospectivas, a excisão cirúrgica continua representando a base do manejo local, embora a ressecção completa seja frequentemente limitada pela extensão tumoral e pela anatomia orbitária7.
O arsenal terapêutico para melanoma avançado expandiu-se consideravelmente na última década. Além dos inibidores de checkpoint e do tebentafusp, diversos agentes-alvo e estratégias experimentais estão em avaliação clínica, especialmente para tumores com alterações genéticas raras. Experiências clínicas iniciais sugerem que a integração da imunoterapia com abordagens-alvo pode aumentar ainda mais a eficácia e prolongar a sobrevida em subgrupos de pacientes com acometimento orbitário12-16.
As séries publicadas de melanoma orbitário continuam escassas, com a maior parte das evidências derivada de pequenas coortes retrospectivas e relatos de caso1,2,6,7,10. Esses estudos destacam a heterogeneidade da apresentação, variando desde lesões indolentes confinadas à órbita até tumores agressivos com disseminação sistêmica precoce. Apesar de avanços terapêuticos graduais, o prognóstico global permanece sombrio, ressaltando a necessidade de colaboração multicêntrica e acompanhamento a longo prazo para melhor caracterizar determinantes prognósticos e refinar diretrizes terapêuticas8,11,15.
Apesar desses avanços, a recorrência local e a progressão sistêmica continuam comuns. Dados de seguimento prolongado indicam que, mesmo com cirurgia radical, a sobrevida global permanece insatisfatória, enfatizando a necessidade de reconhecimento precoce e estratégias terapêuticas individualizadas8,13,16. Pesquisas colaborativas e análises agrupadas são essenciais para melhor definir fatores prognósticos e refinar algoritmos de manejo para essa neoplasia incomum
RELATO DO CASO
Paciente do sexo masculino, 66 anos, foi encaminhado ao serviço de Oftalmologia com história de um mês de cefaleia progressiva à esquerda e dor ocular, seguidas de edema palpebral, proptose e hemorragia subconjuntival. Negava tabagismo e etilismo. Seus antecedentes pessoais incluíam diabetes mellitus e hipertensão arterial sistêmica. O histórico oftalmológico era marcado por ceratocone, com realização de ceratoplastia penetrante no olho direito há aproximadamente 30 anos.
Ao exame oftalmológico inicial, a acuidade visual com melhor correção era de 1,3 logMAR no olho direito e 0,69 logMAR no olho esquerdo. A exoftalmometria de Hertel evidenciou proptose assimétrica, medindo 18 mm no olho direito e 23 mm no olho esquerdo, com base de 97 mm. A avaliação da visão de cores pelo teste de Ishihara foi normal no olho direito (16/16 placas) e significativamente reduzida no olho esquerdo (3/16). A motilidade ocular era preservada no olho direito, enquanto o olho esquerdo apresentava limitação em todas as direções do olhar. A biomicroscopia revelou opacidade corneana relacionada a hidropsia prévia no olho direito e hemorragia subconjuntival no olho esquerdo. A fundoscopia não pôde ser realizada no olho direito devido à opacidade dos meios, sendo sem alterações relevantes no olho esquerdo.
Após encaminhamento à Unidade de Doenças Orbitárias da Santa Casa de Misericórdia de São Paulo, foi realizada tarsorrafia temporária para proteção da superfície ocular durante o primeiro atendimento. Ainda na admissão, foi realizada no setor de Pronto-Socorro imediatamente, tomografia computadorizada de órbitas que demonstrou processo infiltrativo difuso com acometimento muscular, caracterizado por espessamento dos músculos retos superior e lateral e deslocamento anterior e medial do globo ocular esquerdo, resultando em proptose (Figuras 1A, 1B e 1C). Entre os diagnósticos diferenciais considerados estavam doença relacionada ao IgG4, distúrbios vasculares orbitários, doenças linfoproliferativas e metástase orbitária.
Diante da suspeita inicial de processo inflamatório orbitário, iniciou-se tratamento empíricocom prednisona por via oral na dose de 1mg/kg/dia; entretanto, o paciente evoluiu com piora progressiva da dor orbitária e do estado geral, passando a apresentar dispneia e fraqueza acentuada.
Cerca de 5 semanas após o início dos sintomas, diante da piora clínica do paciente, foi realizada orbitotomia lateral com biópsia diagnóstica. No intraoperatório, a lesão apresentava pigmentação anômala e tecido friável, levantando suspeita de neoplasia melanocítica.
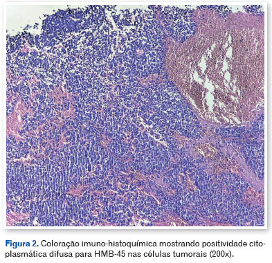
O exame histopatológico revelou células tumorais pleomórficas contendo pigmento melanocítico. A imunohistoquímica demonstrou positividade difusa para HMB-45 (Figura 2), Melan-A (Figura 3) e proteína S100 (Figura 4), com positividade focal para CD56. As células tumorais foram negativas para AE1/AE3, CD20, CD3, sinaptofisina e p63, sustentando o diagnóstico de melanoma.



Enquanto aguardava o estadiamento definitivo, o paciente evoluiu com insuficiência respiratória aguda e rápida deterioração clínica. A avaliação sistêmica revelou múltiplas lesões hepáticas e pulmonares com padrão metastático, compatíveis com doença disseminada. Apesar das medidas de suporte, o paciente faleceu durante a internação antes que fosse possível iniciar tratamento oncológico sistêmico específico.
Na ausência de uma lesão primária identificável na apresentação inicial, o conjunto dos achados clínicos, radiológicos, histopatológicos e imunohistoquímicos foi consistente com melanoma metastático com acometimento orbitário e primário oculto.
DISCUSSÃO
O melanoma orbitário permanece uma entidade clínica rara, com altas taxas de recidiva e mortalidade. O acometimento orbitário metastático, embora incomum, reflete progressão avançada da doença e pode até mesmo representar a primeira manifestação clínica de disseminação sistêmica1,2,5,6. Nosso paciente apresentou sinais clássicos de acometimento orbitário — proptose rapidamente progressiva, dor e sangramento ocular — compatíveis com as descrições da literatura7,8.
Definir o sítio primário do melanoma mostrou-se desafiador neste caso. Diferentemente dos melanomas orbitários primários, frequentemente associados a lesões precursoras, como melanocitose ou nevos azuis, ou dos melanomas secundários, usualmente relacionados a histórico prévio de melanoma cutâneo, uveal ou conjuntival, nosso paciente não apresentava antecedentes oncológicos nem lesões cutâneas/oculares identificáveis. Esse desafio não é incomum: em séries publicadas, até 10–15% dos casos de melanoma orbitário permanecem sem origem definida, mesmo após investigação sistêmica1,2,6.
A ausência de análise molecular foi uma limitação relevante neste caso. Alterações genéticas como mutações em GNAQ e GNA11, altamente prevalentes no melanoma uveal, e mutações em BAP1, SF3B1 e EIF1AX, com implicações prognósticas, poderiam ter contribuído para uma classificação mais robusta. A falta de acesso a esse recurso reflete barreiras ainda presentes em muitos centros e não diminui o valor clínico e científico deste relato, que ilustra a complexidade de casos do mundo real9,11.
O manejo cirúrgico com exenteração permanece uma abordagem clássica para casos primários extensos, mas seu papel em metástases é controverso devido à ausência de benefício em sobrevida. Orbitotomias conservadoras podem ser consideradas em tumores localizados, enquanto abordagens endoscópicas têm ganhado espaço em tumores benignos e malignos selecionados6,7,15. Entretanto, para melanoma orbitário metastático, a cirurgia possui papel limitado e predominantemente paliativo5,10.
A radioterapia pode ser considerada em casos de recidiva local ou comprometimento de margens. No melanoma uveal, a braquiterapia e a radioterapia externa oferecem controle local, porém com morbidade ocular significativa. Para melanoma orbitário, as evidências permanecem escassas e amplamente extrapoladas de outros sítios8,9,16.
Avanços recentes em terapia sistêmica remodelaram o paradigma terapêutico do melanoma. Inibidores de checkpoint (nivolumabe, pembrolizumabe, ipilimumabe) melhoraram a sobrevida no melanoma cutâneo metastático12. Terapias-alvo para melanoma com mutações BRAF/MEK (dabrafenibe/trametinibe, vemurafenibe/cobimetinibe) oferecem benefício adicional em pacientes selecionados14,16. Para melanoma uveal, o tebentafusp — um ImmTAC (receptor de célula T monoclonal mobilizador do sistema imune contra o câncer) — demonstrou benefício em sobrevida global em ensaio clínico fase III publicado em 2021, representando um marco para esse subtipo13. Contudo, a evidência específica para acometimento orbitário permanece limitada a relatos de caso e pequenas séries1,6,10.
Embora o melanoma orbitário seja extremamente incomum, estudos populacionais indicam aumento constante da incidência de melanoma globalmente, o que pode contribuir indiretamente para o reconhecimento mais frequente de metástases orbitárias3,4. O prognóstico permanece geralmente desfavorável, sendo fígado, pulmões e sistema nervoso central os sítios metastáticos mais frequentes5,11. Mesmo em coortes contemporâneas, a sobrevida após o diagnóstico de metástase orbitária raramente excede 12 meses, ressaltando a agressividade dessa apresentação 8,11.
A avaliação radiológica desempenha papel-chave na diferenciação entre melanoma orbitário e outras massas orbitárias malignas ou benignas. A TC e a RM geralmente demonstram lesões infiltrativas envolvendo músculos extraoculares ou gordura orbitária, mas esses achados não são patognomônicos7,8. A imunohistoquímica, portanto, permanece essencial, com expressão consistente de marcadores melanocíticos (S100, HMB-45, Melan-A) nos casos publicados, reforçando a confiabilidade diagnóstica dessas colorações na prática clínica9,10.
Além da inibição de checkpoints, pesquisas em andamento exploram combinações de terapias sistêmicas e integração com tratamentos locorregionais. Por exemplo, a experiência clínica com tebentafusp no melanoma uveal fornece prova de conceito de que abordagens inovadoras de redirecionamento imunológico podem melhorar a sobrevida mesmo em cenários historicamente refratários13. Extrapolar esses achados para o acometimento orbitário permanece especulativo, mas tais avanços podem abrir oportunidades para melhores desfechos no futuro12-14.
Dada a raridade do melanoma orbitário, a maior parte das evidências disponíveis deriva de descrições isoladas de casos ou pequenas séries institucionais1,2,6,10. Essas publicações oferecem insights valiosos sobre desafios diagnósticos, decisões terapêuticas e desfechos na prática real. Nosso caso contribui para esse corpo de conhecimento ao enfatizar a importância da suspeição precoce, a utilidade da imunohistoquímica para o diagnóstico e as limitações no acesso a testes moleculares que ainda persistem em muitos centros oncológicos ao redor do mundo9,11,16.
Este caso reforça a importância de incluir melanoma no diagnóstico diferencial de massas orbitárias de progressão rápida, além de destacar as limitações diagnósticas que persistem quando estudos moleculares não estão disponíveis. Compartilhar tais experiências enriquece o entendimento coletivo dessa condição rara e estimula pesquisas adicionais sobre estratégias diagnósticas e terapêuticas. Esses achados são consistentes com séries de casos previamente publicadas1,2,5,6.
Em conclusão, o melanoma orbitário, seja primário ou metastático, permanece um desafio diagnóstico e terapêutico significativo. A confirmação definitiva depende da histopatologia e da imunohistoquímica. Embora cirurgia e radioterapia possam ser consideradas em casos selecionados, pacientes com doença disseminada geralmente requerem manejo sistêmico paliativo. Estratégias emergentes — incluindo imunoterapia e terapias-alvo moleculares — têm demonstrado resultados promissores; contudo, as evidências que abordam especificamente o acometimento orbitário ainda são limitadas. Este caso reforça o valor da avaliação multidisciplinar e enfatiza a necessidade urgente de estudos adicionais para refinar estratégias de manejo e melhorar os desfechos nessa entidade clínica incomum.
REFERÊNCIAS
1. Adetunji MO, McGeehan B, Lee V, Maguire MG, Briceño CA. Primary orbital melanoma: a report of a case and comprehensive review of the literature. Orbit. 2021;40(6):461-469.
2. Rose AM, Luthert PJ, Jayasena CN, Verity DH, Rose GE. Primary orbital melanoma: presentation, treatment, and long-term outcomes for 13 patients. Front Oncol. 2017 Dec 18:7:316.
3. Garbe C, Amaral T, Peris K, Hauschild A, Arenberger P, Basset-Seguin N, Bastholt L, Bataille V, Brochez L, Del Marmol V, Dréno B, Eggermont AMM, Fargnoli MC, Forsea AM, Höller C, Kaufmann R, Kelleners-Smeets N, Lallas A, Lebbé C, Leiter U, Longo C, Malvehy J, Moreno-Ramirez D, Nathan P, Pellacani G, Saiag P, Stockfleth E, Stratigos AJ, Van Akkooi ACJ, Vieira R, Zalaudek I, Lorigan P, Mandala M, European Association of Dermato-Oncology (EADO), the European Dermatology Forum (EDF), and the European Organization for Research and Treatment of Cancer (EORTC). European consensus-based interdisciplinary guideline for melanoma. Part 2: Treatment – Update 2024. Eur J Cancer. 2025 Jan 17:215:115153.
4. Butt K, Hussain R, Coupland S, Krishna Y. Conjunctival melanoma: a clinical review and update. Cancers (Basel). 2024; 16(18):3121.
5. Liarikos S, Rapidis AD, Roumeliotis A, Angelopoulos AP. Secondary orbital melanomas: analysis of 15 cases. J Craniomaxillofac Surg. 2000;28(3):148-52.
6. Figueira E, Rajak S, McKelvie P, Kalantzis G, Ismail A, Gonzales M, et al. Primary orbital melanoma: a case series and literature review. Orbit. 2018;37(5):352-357.
7. Reyes-Soto G, Carrillo-Hernández JF, Cacho-Díaz B, Ovalle CS, Castillo-Rangel C, Nurmukhametov R, et al. Surgical treatment of orbital tumors in a single center: analysis and results. Surg Neurol Int. 2024 Apr 5:15:122.
8. Huang YY, Hou TY, Yu WK, Tsai CC, Kao SC, Hsu WM, et al. The clinical feature and treatment outcome of ocular melanoma: a 34-year experience in a tertiary referral center. Cancers (Basel). 2021;13(23):5865.
9. Branisteanu DC, Bogdanici CM, Branisteanu DE, Maranduca MA, Zemba M, Balta F, et al. Uveal melanoma diagnosis and current treatment options (Review). Exp Ther Med. 2021;22(6):1428.
10. Ferreira AF, Silveira Filho LG, Dias EL. Primary orbital melanoma in an anophthalmic socket. Radiol Bras. 2019;52(5):347-348.
11. Liu X, Yue H, Jiang S, Kong L, Xu Y, Chen Y, et al. Clinical features and prognosis of patients with metastatic ocular and orbital melanoma: a bi-institutional study. Cancer Med. 2023;12(15): 16163-16172.
12. Larkin J, Chiarion-Sileni V, Gonzalez R, Grob JJ, Rutkowski P, Lao CD, et al. Five-year survival with combined nivolumab and ipilimumab in advanced melanoma. N Engl J Med. 2019; 381(16):1535-1546.
13. Nathan P, Hassel JC, Rutkowski P, Baurain JF, Butler MO, Schlaak M, Sullivan RJ, Ochsenreither S, Dummer R, Kirkwood JM, Joshua AM, Sacco JJ, Shoushtari AN, Orloff M, Piulats JM, Milhem M, Salama AKS, Curti B, Demidov L, Gastaud L, Mauch C, Yushak M, Cavajal RD, Hamid O, Abdullah SE, Holland C, Goodall H, Piperno-Neumann S.; IMCgp100-202 Investigators. Overall Survival Benefit with Tebentafusp in Metastatic Uveal Melanoma. N Engl J Med. 2021;385(13):1196-1206.
14. Knight A, Karapetyan L, Kirkwood JM. Immunotherapy in melanoma: recent advances and future directions. Cancers (Basel). 2023;15(4):1106.
15. Lehmann AE, von Sneidern M, Shen SA, Humphreys IM, Abuzeid WM, Jafari A. Does reconstruction affect outcomes following exclusively endoscopic endonasal resection of benign orbital tumors: a systematic review with meta-analysis. World J Otorhinolaryngol Head Neck Surg. 2022;8(1):25-35.
16. Lens MB, Eisen TG. Systemic chemotherapy in the treatment of malignant melanoma. Expert Opin Pharmacother. 2003; 4(12):2205-11.
| INFORMAÇÃO DOS AUTORES |
|
![]() |
» Luiza Carneiro Bertazzi http://orcid.org/0009-0002-1373-2780 http://lattes.cnpq.br/7468696785742243 |
![]() |
» Aline Pimentel de Miranda http://orcid.org/0000-0002-3017-7005 https://lattes.cnpq.br/1135148626230448 |
![]() |
» Renan Carneiro Nogueira Bertazzi http://orcid.org/0009-0003-9606-1368 http://lattes.cnpq.br/3035187367135853 |
![]() |
» Júlia Cristina Lima http://orcid.org/0009-0008-4661-5509 https://lattes.cnpq.br/1104522340146177 |
![]() |
» Juliana Ishii Iguma http://orcid.org/0000-0002-8745-6582 https://lattes.cnpq.br/9614009693321638 |
![]() |
» José Vital Filho http://orcid.org/0000-0002-1669-0398 https://lattes.cnpq.br/2460766132336890 |
Financiamento: Declaram não haver.
Conflitos de Interesse: Declaram não haver.
Recebido em:
1 de Dezembro de 2025.
Aceito em:
18 de Março de 2026.