Luiza Maretti Scomparin1; Andrea Mara Simões Torigoe1; Albina Messias de Almeida Milani Altemani2; Isabela Mazzo Miorim1; Ludmyla Kandratavicius2; Lucas Yunes Cominatto Barbosa3
DOI: 10.17545/eOftalmo/2024.0021
RESUMO
O leiomioma mesectodérmico do corpo ciliar é um tumor benigno raro, frequentemente confundido com melanoma e geralmente diagnosticado após enucleação e análise histopatológica. Relatamos o caso de um paciente com progressão rápida e agressiva de um tumor no olho direito, inicialmente suspeito de malignidade, que culminou em enucleação. Adicionalmente, foi identificado um hamartoma congênito e não progressivo de epitélio pigmentar da retina na mácula do olho contralateral, de caráter benigno mas com comprometimento visual. Este relato reúne dois diagnósticos raros e previamente não descritos em associação.
Palavras-chave: Leiomioma; Hamartoma; Leiomioma mesectodérmico; Hamartoma de EPR; Hamartoma simples.
ABSTRACT
Mesectodermal leiomyoma of the ciliary body is a rare benign tumor, often mistaken for melanoma and usually diagnosed after enucleation and histopathological analysis. We report the case of a patient with rapid and aggressive progression of a tumor in the right eye, initially suspected as malignant, which culminated in enucleation. In addition, a congenital, non-progressive hamartoma of the retinal pigment epithelium was detected in the macula of the contralateral eye, which was benign but caused vision impairment. This report describes the association of two rare diagnoses that has not been previously reported.
Keywords: Leiomyoma; Hamartoma; Mesectodermal leiomyoma; Retinal pigment epithelium hamartoma; Simple hamartoma.
INTRODUÇÃO
Os tumores benignos oculares raros representam desafios diagnósticos significativos devido à sua baixa prevalência e características que frequentemente simulam lesões malignas. Entre esses, destacam-se o leiomioma mesectodérmico do corpo ciliar e o hamartoma simples do epitélio pigmentar da retina (EPR), ambos escassamente descritos na literatura.
O leiomioma mesectodérmico do corpo ciliar é um tumor benigno incomum, com apenas cerca de 30 casos documentados nas últimas cinco décadas1. Foi descrito pela primeira vez em 1977 por Jakobiec et al.2. Sua principal característica distintiva é a combinação de elementos neurogênicos e miogênicos, sugerindo origem na crista neural1-4. Estudos indicam que o tumor é mais prevalente em mulheres em idade fértil, frequentemente apresentando sintomas como visão embaçada, geralmente com preservação da acuidade visual acima de 20/2001,5.
O hamartoma simples do EPR, por sua vez, é uma lesão benigna rara, descrita inicialmente em 1981 e detalhada em 19896. Localiza-se entre os vasos coriocapilares e os fotorreceptores na retina externa7, apresentando-se como uma lesão escura na região macular. Este tumor é congênito, não progressivo e, em geral, tem impacto visual limitado8.
A seguir, descrevemos um relato de caso inédito que ilustra a coexistência desses dois raros achados tumorais em olhos contralaterais, contribuindo para o entendimento de sua apresentação clínica e manejo.
O presente relato de caso foi aprovado pelo comitê de ética e publicado com o consentimento do paciente. Foi realizado de modo retrospectivo com acesso a informações do prontuário médico.
RELATO DO CASO
Paciente do sexo feminino masculino, de 26 anos, natural de Campinas-SP, procurou o setor de Urgência de Oftalmologia do Hospital de Clínicas da Unicamp com queixa de baixa acuidade visual no olho direito (OD) há seis dias, acompanhada de percepção de mancha escura no campo visual temporal superior e moscas volantes. Negava dor, hiperemia ou outros sintomas oculares. Relatava histórico de miopia corrigida com óculos e pior acuidade visual no olho esquerdo (OE) desde a infância, sem investigação prévia.
No exame oftalmológico, a acuidade visual foi de conta dedos a 4 metros em OD e 20/200 em OE. O exame anterior e posterior do OD revelou uma grande massa expansiva de coloração amarronzada com halo esbranquiçado na região nasal inferior, próxima à ora serrata, associado a descolamento de retina (Figura 1).

No OE, observou-se uma lesão macular elevada, amarronzada, sem exsudação e com retina aplicada (Figura 2).
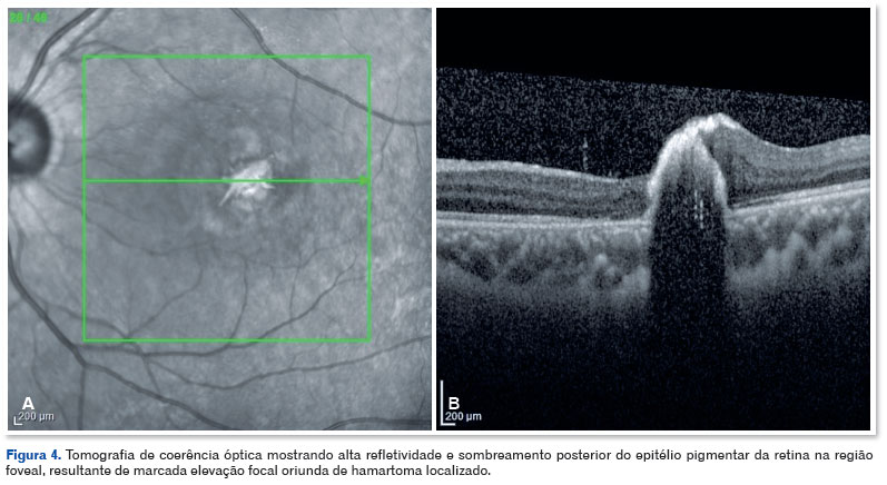
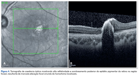
Frente aos achados, levantou-se a hipótese inicial de melanoma de corpo ciliar em OD e de uma lesão congênita não relacionada em OE, motivando a realização de exames complementares. A ultrassonografia (USG) de OD revelou uma massa cupuliforme hipoecoica, medindo 15,3 x 18,7 mm, homogênea, com refletividade interna média e ausência de ângulo kappa (Figura 3). No OE, a USG identificou uma lesão plana hiperecogênica de 1,1 x 1,3 mm. A tomografia de coerência óptica (OCT) do OE mostrou elevação focal do EPR com sombreamento posterior (Figura 4), enquanto o OCT angiográfico (OCT-A) evidenciou vascularização superficial anômala, sem vasos profundos ou sinais de isquemia, compatível com hamartoma simples do EPR (Figura 5).

A ressonância magnética de órbitas confirmou uma lesão expansiva no segmento posterior do OD, com isossinal em T1 e hipossinal em T2, sem infiltração extraocular visível (Figura 6). Exames sistêmicos e laboratoriais descartaram metástases ou anormalidades sistêmicas. Devido à rápida progressão da lesão e ausência de prognóstico visual, optou-se pela enucleação do OD.
A análise anatomopatológica revelou um leiomioma mesectodérmico do corpo ciliar, medindo 1,8 x 1,7 x 1,4 cm, com margens livres e descolamento de retina secundário à neoplasia. O perfil imunohistoquímico confirmou a origem mesectodérmica, com positividade para 1A4, calponina, CD56 e vimentina, além de negatividade para S100, descartando a suspeita inicial de melanoma uveal (Figura 7 e Tabela 1). Após um ano de seguimento, a lesão no OE permaneceu estável, sem sinais de progressão.
DISCUSSÃO
Apresentamos um caso inédito de coexistência de dois hamartomas benignos em olhos contralaterais: um leiomioma mesectodérmico do corpo ciliar e um hamartoma simples do EPR.
O leiomioma mesectodérmico do corpo ciliar é uma neoplasia ocular benigna rara, derivada de musculatura lisa, caracterizada histologicamente por células fusiformes uniformes, núcleos alongados, citoplasma eosinofílico e ausência de atipia celular ou atividade mitótica significativa1-3. Embora benigno, o tumor pode crescer e ocupar espaço intraocular, resultando em compressão de estruturas adjacentes e perda visual progressiva1. A apresentação clínica, mais comum em mulheres, ocorre com média de idade de 35,8 anos, podendo variar de 8 a 80 anos9. Nos estágios iniciais, o tumor pode ser assintomático, mas, com o crescimento, os sintomas incluem baixa visão, dor ocular, diplopia e inflamação.
O diagnóstico diferencial é um desafio, envolvendo outras massas do corpo ciliar, como melanomas, nevus, adenomas e adenocarcinomas epiteliais1. No caso relatado, a ultrassonografia ocular e a ressonância magnética foram fundamentais para caracterizar a extensão e a localização da lesão. As características imagiológicas, como ausência de ângulo kappa na ultrassonografia e isossinal em T1 na ressonância, não eram típicas de melanoma. Contudo, devido ao rápido crescimento, comprometimento visual severo e ausência de alternativas terapêuticas eficazes, optou-se pela enucleação.
O perfil imunohistoquímico confirmou o diagnóstico de leiomioma mesectodérmico, com positividade para marcadores musculares lisos (1A4, calponina, vimentina) e negatividade para marcadores de malignidade, como S-100 e HMB-4510-12. O prognóstico desse tumor é excelente, com baixo risco de recorrência após excisão completa. No entanto, o monitoramento regular é essencial em casos manejados conservadoramente para avaliar o crescimento e preservar a função visual.
Por outro lado, o hamartoma simples do EPR é uma malformação congênita rara, composta por células normais do EPR organizadas de forma anômala, sem atipia ou atividade mitótica7,8. Clinicamente, a lesão se apresenta como uma área pigmentada focal, plana ou ligeiramente elevada, localizada no polo posterior. É geralmente assintomática, sendo identificada incidentalmente durante exames oftalmológicos. No caso relatado, a lesão foi diagnosticada por meio de exames multimodais, como OCT e OCT-A, que revelaram elevação focal do EPR e vascularização superficial anômala.
O diagnóstico diferencial do hamartoma inclui nevus coriorretinianos, melanocitomas e melanomas coroidais. Embora a maioria dos casos exija apenas acompanhamento periódico, complicações como edema macular ou descolamento de retina podem ocorrer. Intervenções são raramente necessárias, exceto em casos de comprometimento visual significativo.
Do ponto de vista embriológico, acredita-se que o leiomioma mesectodérmico tenha origem na crista neural, enquanto o hamartoma do EPR deriva de células progenitoras ectópicas que não completaram sua diferenciação durante o desenvolvimento embrionário13. Não há evidências de relação direta entre essas lesões, e este é o primeiro caso descrito com essa associação.
Este relato destaca a importância do diagnóstico preciso, manejo multidisciplinar e seguimento regular em casos de tumores oculares raros, contribuindo para o entendimento dessas lesões e suas implicações clínicas.
REFERÊNCIAS
1. Kim JM, Hall LB, Elia M, Ehrlich MS, Materin MA, Sinard JH. Acute Presentation of Mesectodermal Leiomyoma of the Ciliary Body. Ocul Oncol Pathol. 2017 Nov;3(4):304-309.
2. Jakobiec FA, Font RL, Tso MOM, Zimmerman LE. Mesectodermal leiomyoma of the ciliary body. A tumor of presumed neural crest origin. Cancer. 1977;39(5): 2102-2113.
3. Jakobiec FA, Iwamoto T. Mesectodermal Leiomyoma of the Ciliary Body Associated With a Nevus. Arch Ophthalmol. 1978;96(4):692–695.
4. Inamori O, Fukuoka H, Nagamine M, Sotozono C, Konishi E. Mesectodermal Leiomyoma of the Ciliary Body: A Unique Variant of Leiomyoma with Myogenic and Neurogenic Histological Features. Int J Surg Pathol. 2022;30(1):114-119.
5. Alenda C, Aranda FI, Paya A, Cordoba C. Mesectodermal Leiomyoma of Ciliary Body. International Journal of Surgical Pathology. 2002;10(4):309-312.
6. Gass JD. Focal congenital anomalies of the retinal pigment epithelium. Eye (Lond) 1989;3 (Pt 1):1–18.
7. Baba K, Goyal V, Tosini G. Circadian Regulation of Retinal Pigment Epithelium Function. Int J Mol Sci. 2022;23(5):2699.
8. Shields CL, Shields JA, Marr BP, Sperber DE, Gass JD. Congenital simple hamartoma of the retinal pigment epithelium: a study of five cases. Ophthalmology. 2003;110(5):1005-11.
9. Tomar AS, Finger PT, Iacob CE. Intraocular leiomyoma: Current concepts. Surv Ophthalmol. 2020;65(4):421-437.
10. Koletsa T, Karayannopoulou G, Dereklis D, Vasileiadis I, Papadimitriou CS, Hytiroglou P. Mesectodermal leiomyoma of the ciliary body: report of a case and review of the literature. Pathol Res Pract. 2009;205(2):125-30.
11. Park SH, Lee JH, Chae YS, Kim CH. Recurrent mesectodermal leiomyoma of the ciliary body: a case report. J Korean Med Sci. 2003;18(4):614-7.
12. Lai CT, Tai MC, Liang CM, Lee HS. Unusual uveal tract tumor: mesectodermal leiomyoma of the ciliary body. Pathol Int. 2004;54(5):337-42.
13. Pujari A, Agarwal D, Chawla R, Todi V, Kumar A. Congenital simple hamartoma of the retinal pigment epithelium: What is the probable cause? Med Hypotheses. 2019 Feb:123:79-80.
| INFORMAÇÃO DOS AUTORES |
|
![]() |
» Luiza Maretti Scomparin |
![]() |
» Andrea Mara Simões Torigoe |
![]() |
» Albina Messias de Almeida Milani Altemani |
![]() |
» Isabela Mazzo Miorim |
![]() |
» Ludmyla Kandratavicius |
![]() |
» Lucas Yunes Cominatto Barbosa |
Financiamento: Declaram não haver.
Aprovação do Comitê de Ética: Universidade Estadual de Campinas – UNICAMP (CAAE: 74089623.7.0000.5404).
Conflito de Interesse: Declaram não haver.
Recebido em:
23 de Setembro de 2024.
Aceito em:
23 de Fevereiro de 2025.